什么样的情况下要补硒(补硒建议)
摘要
目的
探讨补充硒元素对小鼠动脉粥样硬化的影响和对血管内皮功能的作用。
方法
将低硒高脂饲料饲养的载脂蛋白E基因敲除小鼠按照随机数字表法,分为对照组(未补硒,10只)、低剂量补硒组(饮用水的亚硒酸钠浓度为0.1 mg/L,10只)和高剂量补硒组(饮用水的亚硒酸钠浓度为0.2 mg/L,10只)。饲养15周后,测定各组小鼠心脏和肝脏中的硒含量、血脂水平、抗氧化功能指标[包括血清超氧化物歧化酶(SOD)活性、谷胱甘肽过氧化物酶(GSH-Px)活性和丙二醛水平]和血管内皮功能指标[包括血清一氧化氮(NO)和内皮素1、血管内皮生长因子(VEGF)水平和主动脉根部内皮素1和VEGF的表达水平],并采用油红O染色分析主动脉根部的动脉粥样硬化斑块面积。
结果
(1)高剂量补硒组和低剂量补硒组小鼠心脏和肝脏的硒含量均高于对照组(P均P均>0.05)。(3)高剂量补硒组和低剂量补硒组的血清SOD活性分别为(152.3±11.3)U/ml和(113.8±12.5)U/ml,均高于对照组的(90.7±10.7 )U/ml,且高剂量补硒组的血清SOD活性高于低剂量补硒组(P均P均P均P均P均P>0.05);高剂量补硒组和低剂量补硒组的血清VEGF水平分别为(83.5±22.0)ng/L和(97.4±16.5)ng/L,均低于对照组的(125.8±18.6)ng/L(P均P>0.05);高剂量补硒组和低剂量补硒组的主动脉根部内皮素1和VEGF的蛋白表达水平均低于对照组(P均5μm2和(0.95±0.19)×105μm2,均小于对照组的(1.13±0.23)×105μm2,且高剂量补硒组斑块面积小于低剂量补硒组(P均
结论
补硒可降低载脂蛋白E基因敲除小鼠的脂质过氧化程度,保护血管内皮功能,降低动脉粥样硬化的病变程度。
在动脉粥样硬化的发病过程中,脂质过氧化和由此引起的内皮细胞氧化应激损伤发挥了关键作用。氧自由基及其他活性氧成分引起脂质过氧化,产生丙二醛等醛类物质,后者对低密度脂蛋白进行氧化修饰,形成氧化型低密度脂蛋白。氧化型低密度脂蛋白通过细胞毒性作用损伤血管内皮,还可以被浸润到血管内皮下的巨噬细胞大量摄取,转化为泡沫细胞,逐渐形成动脉粥样硬化[1,2,3]。硒作为一种人体必须微量元素,是谷胱甘肽过氧化物酶(glutathione peroxidase,GSH-Px)和硫氧还蛋白还原酶的组成部分,发挥重要的抗氧化作用[4]。研究表明,硒具有减轻血管氧化应激损伤的作用[5]。临床研究也显示,膳食硒摄入量高的心血管疾病患者相对于摄入量低的患者,动脉功能的损伤程度较轻[6,7]。为探讨机体在低硒状态下,经饮食补充硒对动脉粥样硬化发病的影响,本研究以低硒饲料饲养载脂蛋白E基因敲除(ApoE-knockout,ApoE-/-)小鼠,观察经饮水补充亚硒酸纳对动脉粥样硬化斑块形成和血管内皮功能的影响。
材料与方法
1.实验动物及饲养:
5周龄ApoE-/-小鼠30只,均为雄性,体重16~18g,购自北京维通利华实验动物公司(许可证号:SCXK-京-2012-0001)。用低硒型高脂饲料(北京科奥协力公司生产,许可证号:SLXK-京-2013-0001)饲养15周。饮用纯净水由泰山医学院实验动物中心制备并提供。饲养级别为SPF级,室温22~24 ℃,相对湿度50%,光照时间7:00—18:00。实验动物的饲养和实验处理程序经泰山医学院实验动物伦理委员会审查通过(编号2014006)。
2.动物的分组:
将ApoE-/-小鼠称重后,按照重量由小到大排序并依次编号,然后采用随机数字表法将小鼠分为3组:对照组(未补硒,10只)、低剂量补硒组(饮用水的亚硒酸钠浓度为0.1 mg/L,10只)和高剂量补硒组(饮用水的亚硒酸钠浓度为0.2 mg/L,10只)。经饮用水补充的亚硒酸钠为细胞培养级(美国Sigma公司),补硒时间共15周。
3.动物的取材:
饲养过程结束后,将小鼠用乙醚麻醉,经内眦静脉取血,分离血清。取血完成后,迅速剪开胸腔,以磷酸盐缓冲液冲洗并分离出心脏。将心底和心尖部位分离,然后切取肝脏,以上组织标本在-80 ℃下冻存。
4.心脏和肝脏中硒含量的检测:
取冻存的心尖和肝脏标本,解冻后用滤纸吸干水分并剪碎,称取1.0 mg样品,用硝酸和高氯酸(4∶1)溶液消化。采用氢化物发生-原子荧光光谱法测定心脏和肝脏中的硒含量。
5.血清学指标的检测:
检测的项目包括血脂水平、抗氧化功能指标[包括血清超氧化物歧化酶(superoxide dismutase,SOD)活性、GSH-Px活性和丙二醛水平]和血管内皮功能指标[包括血清一氧化氮(nitric oxide,NO)、内皮素1和血管内皮生长因子(vascular endothelial growth factor,VEGF)水平]。
采用Alcyon300全自动生化分析仪(美国雅培公司)检测血清甘油三酯、总胆固醇、高密度脂蛋白胆固醇、低密度脂蛋白胆固醇、低密度脂蛋白胆固醇水平;采用氮蓝四唑(NBT)法测定SOD的活性(试剂盒购于南京建成公司);采用二硫对硝基苯甲酸(DTNB)法测定GSH-Px(试剂盒购于美国R&D公司);采用硫代巴比妥酸(TBA)显色法检测血清丙二醛含量(试剂盒购于南京建成公司);采用硝酸还原酶法(试剂盒购于南京建成公司)检测血清NO水平;采用酶联免疫吸附试验检测血清中内皮素1和VEGF的水平(试剂盒购于武汉博士德公司)。
6.免疫组织化学法检测主动脉根部的内皮素1和VEGF表达水平:
取上述主动脉根冰冻切片,室温吹干后用4%多聚甲醛固定20 min。在30%过氧化氢和纯甲醇(1∶50)中灭活内源性过氧化物酶。蒸馏水洗涤后,滴加5%BSA封闭20 min,甩干后滴加一抗(1∶200稀释,美国Santa Cruz公司),4 ℃过夜。阴性对照滴加磷酸盐缓冲液。磷酸盐洗涤后,滴加二抗(北京中杉金桥公司),室温反应20 min。显色后,用1∶3稀释的苏木素染液复染。经脱水、透明和封片后,光镜下取图,采用IPP图像分析软件统计阳性表达积分光密度(A)值作为目标物质的表达水平。
7.主动脉根部动脉粥样硬化斑块的油红O染色:
将包含瓣膜和主动脉根部的心脏组织进行冰冻切片,在室温干燥后放入50%乙醇中浸洗,用油红O(美国Sigma公司)乙醇染液染色30 min。50%乙醇分化3 min后,自来水终止分化。采用苏木素复染,自来水返蓝。光镜下观察小鼠主动脉根部动脉粥样硬化斑块,通过IPP图像分析软件分析斑块面积,以确定动脉粥样硬化的严重程度。
8.统计学分析:
采用SPSS 20.0软件进行统计学分析。正态分布的计量资料以
±s表示,多组之间的比较采用单因素方差分析,两组之间的比较采用LSD-t检验。采用双侧检验,以P
结果
1.小鼠心肌和肝脏的硒含量(表1):

高剂量补硒组和低剂量补硒组心脏和肝脏的硒含量均高于对照组,且高剂量补硒组心脏和肝脏的硒含量均高于低剂量补硒组(P均
2.小鼠血脂水平(表2):

3组之间的血清甘油三酯、总胆固醇、低密度脂蛋白胆固醇、极低密度脂蛋白胆固醇和高密度脂蛋白胆固醇水平差异均无统计学意义(P均>0.05)。
3.血清SOD、GSH-Px活性和丙二醛水平(表3):

高剂量补硒组和低剂量补硒组的血清SOD活性均高于对照组,且高剂量补硒组的血清SOD活性高于低剂量补硒组(P均
4.血清NO、内皮素1、VEGF含量(表4):

高剂量补硒组和低剂量补硒组的血清NO水平均高于对照组,且高剂量补硒组的血清NO水平高于低剂量补硒组(P均0.05);高剂量补硒组和低剂量补硒组的血清VEGF水平均低于对照组(P均0.05)。
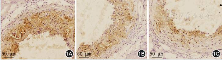
5.主动脉根部内皮素1和VEGF的蛋白表达水平(图1、图2,表5):


图1 免疫组织化学法检测主动脉根部的内皮素1表达(1A:对照组;1B:低剂量补硒组;1C:高剂量补硒组;棕色区域为内皮素1蛋白表达)

图2 免疫组织化学法检测主动脉根部的血管内皮生长因子表达(2A:对照组;2B:低剂量补硒组;2C:高剂量补硒组;棕色区域为血管内皮生长因子蛋白表达)
高剂量补硒组和低剂量补硒组的内皮素1蛋白表达水平均低于对照组,且高剂量补硒组的内皮素1蛋白表达水平低于低剂量补硒组(P均0.05)。
6.小鼠主动脉根部动脉粥样硬化斑块的形成情况:
在油红O染色的动脉粥样硬化动物标本中,脂质斑块染色为红色(图3)。高剂量补硒组和低剂量补硒组主动脉根部动脉粥样硬化斑块面积分别为(0.75±0.15)×105 μm2和(0.95±0.19)×105 μm2,均小于对照组的(1.13±0.23)×105 μm2,且高剂量补硒组斑块面积小于低剂量补硒组(P均

图3 油红O染色检测主动脉根部动脉粥样硬化斑块(3A:对照组;3B:低剂量补硒组;3C:高剂量补硒组;红色区域为脂质斑块)
讨论
在高脂血症的情况下,氧自由基介导的脂质过氧化损伤参与动脉粥样硬化的形成,而硒在体内以功能性硒蛋白的形式发挥重要的抗氧化作用,能够降低脂质过氧化反应[8]。ApoE-/-小鼠是研究动脉粥样硬化发病的经典动物模型[9],本研究采用ApoE-/-小鼠模型观察不同硒摄入水平对低硒状态下体内动脉粥样硬化发病的影响。研究发现,由于采用了ApoE-/-小鼠模型且为高脂饲养,各组均有明显的斑块形成,补硒后小鼠动脉粥样硬化病变显著减轻,且高剂量补硒组斑块面积小于低剂量补硒组,说明对于低硒动物,补硒具有一定的预防动脉粥样硬化的作用。
在动脉粥样硬化发生的起始阶段,脂质的过氧化产生大量醛类产物如丙二醛,这些物质进一步对脂蛋白进行氧化修饰[10,11]。体内具有抗氧化作用的酶类可以通过清除过多自由基,减少脂质的过氧化以及丙二醛产物的生成,起到保护器官组织细胞功能的作用[12]。本研究通过检测血清丙二醛水平、SOD和GSH-Px活性发现,高剂量补硒组小鼠丙二醛水平低于低剂量补硒组,而SOD和GSH-Px活性水平高于低剂量补硒组,补硒提高了机体的抗氧化水平,减少了脂质过氧化产物的生成。
正常的血管内皮能够通过分泌NO和内皮素1等调节血管舒张和收缩平衡,但在内皮功能发生紊乱时,出现NO表达水平降低和内皮素1表达水平增高[13,14]。动物实验证明,动脉粥样硬化斑块部位出现NO低表达和内皮素1的高表达[15]。研究还显示,硒摄入量低的动物血管内皮正常调节功能受到抑制,血管舒张调节因子(NO)的水平降低[16,17]。VEGF是具有促进血管内皮细胞有丝分裂功能的特异性生长因子,在正常机体中VEGF表达量极低,动脉粥样硬化发生时VEGF表达增高,因此VEGF是反映动脉粥样硬化病情和预后的常用指标[18,19]。本研究发现,高剂量补硒组和低剂量补硒组的血清NO水平均高于对照组,而血清内皮素1和VEGF水平低于对照组,说明补硒可以减轻内皮损伤。
自从1979年列为人体必需微量元素至今,硒被认为是参与人体抗氧化作用的重要元素之一,且与心血管疾病和肿瘤等发病有关[20]。但是相关实验研究得出的结果并不一致,一般认为在摄入不足的人群中补硒会获得较好的效果[21]。本研究验证了这一观点,在低硒动物中通过饮食补充硒元素,可以减轻脂质过氧化,减轻内皮功能损伤,延缓动脉粥样硬化的形成。
利益冲突无
参考文献(略)


