怎么调理脂肪肝补硒(调理肝脂肪补硒有用吗)
何为脂肪肝?
脂肪肝是指由于遗传-环境-代谢应激等各种原因引起的肝细胞内脂肪堆积过多的病变,是一种常见的肝脏病理改变,而非一种独立的疾病。正常人肝组织中含有少量的脂肪,如甘油三酯、磷脂、糖脂和胆固醇等,其重量约为肝重量的3%~4%。如果肝内脂肪蓄积太多,超过肝重量的5%时,就可称为脂肪肝。

为了自己和家人,请重视脂肪肝!
脂肪肝的临床表现与危害
脂肪肝一般可分为酒精性脂肪肝和非酒精性脂肪肝两大类。根据脂肪变性在肝脏累及的范围,又可分为轻、中、重三型。通常,若肝内脂肪含量5%~10%即为轻度脂肪肝,10%~25%即为中度脂肪肝,超过25%的即为中毒脂肪肝。 脂肪肝的临床表现多样,轻度脂肪肝多无临床症状,患者多于体检时偶然发现。中、重度脂肪肝有类似慢性肝炎的表现,可有食欲不振、疲倦乏力、恶心、呕吐、肝区或右上腹隐痛等。
面对体检报告上的“轻度脂肪肝”几个字,你会不会觉得无关紧要?接下来你可能要重视起来了,因为轻度脂肪肝也能要命,最新研究数据引发脂肪肝人群高度不适。
科学数据
2020 年 10 月 9 日,国际著名医学期刊《GUT》在线发表了一项来自瑞典的研究论文,发现非酒精性脂肪性肝病(Non-alcoholic fatty liver disease,NAFLD)患者死亡率会随着疾病严重程度的增加而增加,但即使是较轻的脂肪肝 (单纯性脂肪肝) 也会增加 71% 的死亡风险。 非酒精性脂肪性肝病影响着全球和我国近四分之一成年人的健康,以往的研究均显示进展性(晚期)肝纤维化是 NAFLD 全因死亡和肝病死亡最重要的预测因子,但一直缺少基于人群水平的有关肝脏组织学的大样本的相关数据。

Simon TG et al., 2020, Gut
为此,来自瑞典、美国和英国的研究人员利用瑞典的全国疾病登记数据库,将 1966 年-2017 年间经肝活检确认的 10568 名 NAFLD 患者与配对的普通人群(对照组)进行对比,平均随访 14.2 年后,4338 例 NAFLD 患者死亡。 与正常人群比较,NAFLD 患者全因(包括各种原因)死亡率增加 93%,且随着疾病的严重程度而增加,患者的死亡风险会逐渐升高,已经是肝硬化的 NAFLD 患者死亡风险是正常人的 3.79 倍。即使是最轻微的单纯性脂肪变性,死亡风险也较正常人增加 71%,这种风险主要由肝外的恶性肿瘤和肝硬化,其次是心血管疾病和肝癌。
轻度脂肪肝伤害
轻度脂肪肝的症状很容易被忽视,早期表现可能仅为乏力易困,后期可能出现低热、出虚汗、口苦、腹泻等症状。
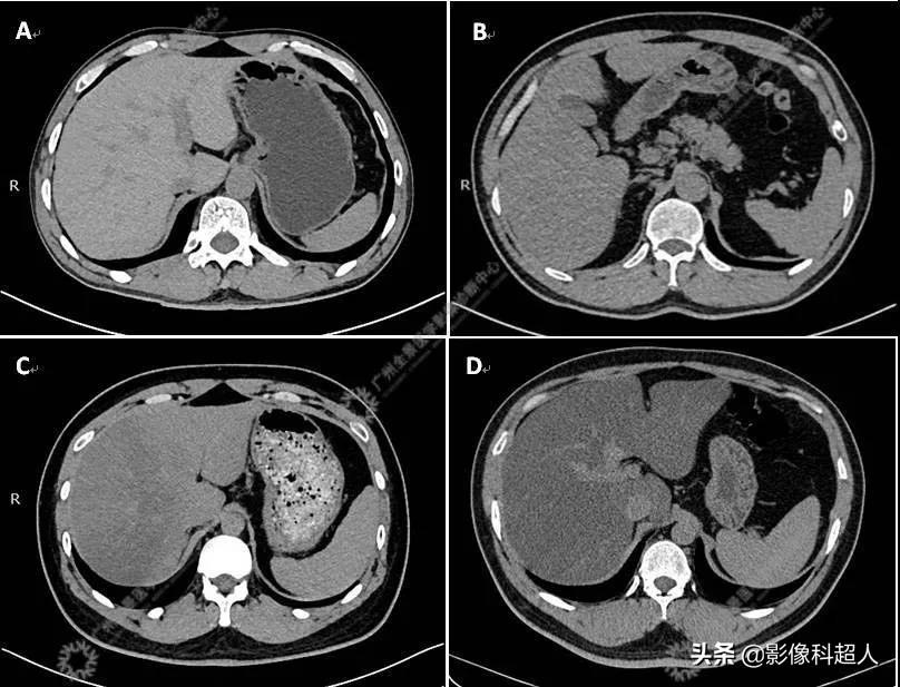
脂肪肝的CT诊断与分度
脂肪肝的CT表现主要为肝脏密度减低,呈弥漫性或局部肝实质密度减低,其密度与浸润脂肪含量密切相关(负相关);随着肝细胞内脂肪含量越高,对应的CT值越低。脂肪肝的CT诊断与分度标准主要可分为以下两种:
1、肝/脾CT密度比值法
在正常肝脏,肝的CT密度应大于同一层面脾的CT密度。当肝脏密度降低,肝/脾CT比值< 1时,即可诊断为脂肪肝。肝/脾CT比值为0.7~1.0 时为轻度脂肪肝;肝/脾CT比值为0.5~0.7时为中度脂肪肝;肝/脾CT比值为0.5 以下时为重度脂肪肝。
2、肝脏与肝内血管相对密度法
在正常肝脏,肝实质密度应大于肝血管密度。当肝脏实质密度降低,肝实质与肝血管CT相对密度发生变化。肝组织与肝内血管相比呈等密度时,为轻度脂肪肝;肝组织密度低于肝血管(肝血管反转显示),为中度脂肪肝;肝组织密度明显低于肝血管密度时,为重度脂肪肝。

A:正常;B:轻度脂肪肝;C:中度不均匀脂肪肝;D:重度脂肪肝。
轻度脂肪肝饮食注意
1、 控制牛肉、猪肉、羊肉、全脂奶制品、奶酪、动物油等摄入。
2、 尽量避免氢化植物油里的反式脂肪酸摄入。
3、 控制摄入量,保持每日食物的多样性,尽量达到平衡膳食。
4、 适量摄入深海鱼、虾、脱脂奶制品、大豆类制品和少量坚果等优质蛋白。
5、保持健康体重,不过度减肥。
6、禁止饮酒吸烟。
定期健康体检
对于健康人群,40岁后的中年人尤其是男性,应每年进行一次肝功能+腹部B超查体。
对于有肝病病史、家中有肝病患者、饮酒史、糖尿病史的特殊人群,建议每6个月做一次肝功能+腹部B超检查 + 血清甲胎蛋白(AFP)检查。
脂肪肝的治疗
轻、中度脂肪肝虽病程发展缓慢,但仍应引起重视。如果任其发展,那么轻度也可能进展为重度,甚至发展成脂肪性肝炎,进而出现肝纤维化、肝硬化,导致肝癌。因此,查出轻度或中度脂肪肝时,应积极进行干预治疗。
针对单纯性因脂肪摄入过多而引起的轻、中度脂肪肝,肝功能正常的,可通过饮食和运动两方面进行调节干预,应注意:
一、调整饮食结构
促进体内脂肪消耗降低脂肪摄入;适当补硒,提高肝脏代谢脂肪的能力。提倡高蛋白质、高维生素、低糖、低脂肪饮食。不吃或少吃动物性脂肪、甜食。多吃青菜、水果和富含纤维素的食物,以及高蛋白质的瘦肉、河鱼、豆制品等;
二、适量增加运动
促进体内脂肪消耗。建议选择慢跑、快走、骑自行车、上下楼梯、打羽毛球、跳绳和游泳等有氧运动。运动强度因人而异,应以运动时脉搏为100~160次/分钟,持续20~30分钟,运动后疲劳感于20分钟内消失为宜;[2]
但针对其他情况的脂肪性肝病需根据专业医生建议进行治疗,必要时,采用一定的药物干预。
轻度脂肪肝对什么威胁不容小觑,请大家收藏本文。
