扩张型心肌病补硒(扩张型心肌病新药)
初步诊断
患者40岁女性,因晕厥、呼吸困难入院,呼吸困难症状初为劳力性,后逐渐进展至夜间阵发性呼吸困难。既往有“1型糖尿病”病史,6年前因“Graves病”行甲状腺切除,长期服用“左甲状腺素片”替代治疗。近期无发热症状,无心肌病家族史。
查体:神志清,中度窘迫,体温正常,外周血氧饱和度93%,血压100/60 mmHg,双肺闻及湿啰音,心率100次/分,心律齐,腋部可闻及Ⅲ/Ⅳ度全收缩期杂音,左心室舒张期奔马律,肝肋下3cm可及,轻度外周水肿。
入院心电图:窦性心率100次/分、QT间期延长(QTc=640ms)、V1~V4导联T波倒置(图1)。

图1 入院心电图
生化示:血糖(15 mmol/L)、ALT(361 U/L)、AST(463 U/L)、胆固醇、NT-proBNP(900 pg/mL)、TSH(15 uUI/mL)升高,CK-MB、肌钙蛋白T、血钾(5.3 mmol/L)、血钠(134 mmol/L)正常,甲状旁腺激素(10 pg/mL)减低。
胸部X线:双肺渗出性改变,心胸比增加,肺门增大。
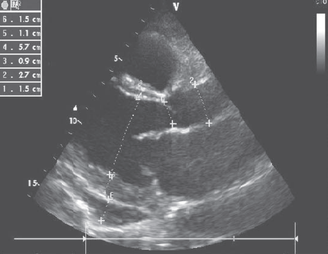
心脏超声:左心室扩张,左心室舒张末期内径57 mm,左心室收缩末期内径51 mm,左心室弥漫性运动减弱,LVEF=15%;限制性舒张功能障碍(E/E‘=19),二尖瓣、三尖瓣反流,中度肺动脉高压(图2)。

图2 心脏超声结果
为明确有无缺血性左心室衰竭,行冠脉造影检查,未见明显异常。


图3 冠脉造影结果
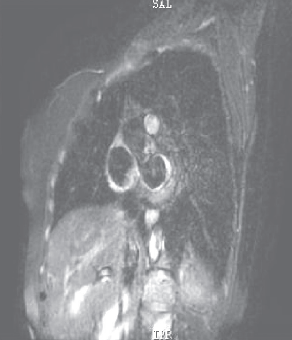
心脏MRI见心肌灌注均匀(图4)。



图4 心肌MRI结果
因患者存在左室扩张、收缩功能障碍,诊断为“扩张型心肌病 心功能IV级(NYHA)”,因患者存在QT间期延长,考虑晕厥为快速性心律失常所致,但予以多次24小时心电图检查未见明显心律失常。
初步治疗方案如下:呋塞米静推,初为120mg/d,后减量至40mg/d,雷米普利2.5mg qd,卡维地洛6.25mg qd,螺内酯25mg qd,阿托伐他汀20mg qd,其余胰岛素及左甲状腺素治疗。
病情变化
经过上述治疗,患者充血症状虽然有所缓解,体重减轻6公斤,但仍有活动后呼吸困难,而且出现了新的症状和体征:患者出现夜间肌肉痉挛,Chvostek征、Trousseau征阳性。
小贴士:
Chvostek征:面部叩击征,耳前2-3cm处(颧弓,下有面神经)引起同侧嘴角抽搐为阳性,见于低钙血症、甲状旁腺功能减退等,也可见于10%的正常人。
Trousseau征:陶瑟征,用血压计捆缚前臂,充气至收缩压以上20 mmHg持续3分钟,如诱发手部痉挛为阳性,可见于碱中毒、低镁血症、低钾血症。
查电解质示严重低钙血症,血清总钙0.9 mmol/L(3.6 mg/dL)。回顾入院时检查结果,甲状旁腺功能减退易合并低钙血症,心电图所示的QT间期延长也提示低钙血症,住院期间使用利尿剂进一步加剧了低钙血症,诊断为“甲状旁腺功能减退症、低钙性心肌病”,启动补钙治疗。
先后予葡萄糖酸钙、乳酸钙(6000 mg/d)、骨化三醇(0.5μg/d)治疗,低钙血症逐渐纠正,1个月后LVEF恢复至30%,NYHA心功能II级。继续补钙治疗,1年后调整每日用药为“乳酸钙3g、α-钙剂2μg、卡维地洛12.5 mg、左甲状腺素150μg”,复查心脏超声,左心室舒张末期内径47 mm,左心室收缩末期内径33mm,LVEF 58%(图5)。



图5 复查心脏超声
思考分析
经过对因治疗,患者预后良好,让我们一起来分析一下导致心肌扩张的原因。
钙离子与心肌细胞动作电位密切相关。心肌膜去极化时,电压门控通道瞬间开放,钙离子借助膜两侧电化学驱动力迅速内流,促使肌浆网释放更多的钙离子,胞质内钙离子浓度升高将促进肌钙蛋白C与钙离子结合,使肌钙蛋白发生构象变化,导致肌钙蛋白I与肌动蛋白结合减弱和原肌球蛋白(即原肌凝蛋白)向肌动蛋白双螺旋沟槽深部移动,暴露出肌动蛋白上的结合位点,引发横桥与肌动蛋白结合和肌肉收缩(图6、图7)。

图6 心肌收缩依赖于心肌内改离子浓度变化

图7 钙离子与心肌收缩系统
因此,钙离子是影响心室收缩和舒张的重要因素,也是正性肌力药左西孟旦的作用基础。左西孟旦作为钙离子增敏剂,可增加肌钙蛋白C对钙离子的敏感性而增强心肌细胞收缩力。
患者心肌扩张仅仅是低钙血症所致吗?对于本例患者,还应同时考虑甲状旁腺功能减退的影响。
甲状旁腺功能减退症可因Di George综合征、肾上腺功能不全、念珠菌病、甲状腺切除术、自身免疫性甲状旁腺功能减退症等原因引起。甲状旁腺素通过激活G蛋白信号直接诱导钙内流,激活蛋白激酶C,而蛋白激酶C可干扰肾上腺素β受体,减弱心脏收缩能力;同时,甲状旁腺素减少了血管平滑肌细胞的钙内流和血管扩张作用,也可以对心肌细胞增殖和肥大产生影响。
结 语
扩张型心肌病是心内科医师面对的顽疾,该病患者往往血压偏低也限制了药物用量难以达标,由于低钙等原因引起的扩张型心肌病是可逆的,因此追寻扩张型心肌病的病因以确定最佳的治疗方法至关重要。
参考文献:
1. Parepa I, Mazilu L, Suceveanu A, et al. Hypocalcemic cardiomyopathy – a rare heart failure etiology in adult[J]. Acta Endocrinol (Buchar), 2019; 5(1): 107-112.
2. Bonow RO, Mann DL, Zipes DP, et al. BRAUNWALD心脏病学[M]. 人民卫生出版社, 2016, 481-487.
3. 朱大年, 吴博威, 樊小力, 等. 生理学[M]. 人民卫生出版社, 2010, 38-39.
