补铁牙齿变黑了怎么办(补铁黑牙怎么办)
宝宝牙齿变黑,是蛀牙了吗?
我们经常会遇到一些家长带着孩子来看牙,恐慌地询问孩子牙齿「变黑」的原因,很疑惑孩子小小年纪怎么就一口黑牙?
其实,儿童牙齿变黑,常见的有两种情况:

我们先聊一下“相对较好”的情况,外源性色素沉着:
常与牙龈边缘平行分布,或表现为牙面上不连续的黑点。如上图(左),牙挺白的,但是靠近牙龈部分有黑黑的东西,既可发生在乳牙也可发生在恒牙,在儿童中较为常见。虽然影响美观,但是对牙齿本身的结构和功能影响不大。
色素沉着的原因
饮食习惯
●色素沉着的发生与进食有色素的食物的频率(酱油,醋)、食用中草药的频率以及食用蔬菜频率有关。因为进食含色素食物较多,会增加色素来源,色素沉积将导致儿童牙面色素形成。
●此外,过量的摄入铁也可能引起黑色素沉着。Garcia Martin[1]等人的横断面研究发现外源性黑色素沉着与母亲妊娠期的补铁量及儿童期的铁摄入量有关。问卷调查显示,在有黑色素沉着的儿童中,11%曾服用铁制剂,在无黑色素沉着的儿童中,只有2.7%曾补过铁。对于富含铁的食物,如蔬菜、豆类、奶制品、鸡蛋等,有黑色素沉着的儿童摄入量也大于无黑色素沉着的儿童。也有研究显示,牙齿外源性色素沉着可能与饮用水中的铁含量有关[12,28]。
唾液成分
乳铁蛋白是一种唾液中的糖蛋白,有很强的结合铁的能力。Nordbo[1]等发现牙齿易出现外源性色素沉着的人唾液中的乳铁蛋白含量明显高于不易着色的人体外研究中,乳铁蛋白、铁离子和单宁酸的混合物可以在牙釉质及牙本质表面造成色素沉着。
口腔菌群

有黑色素沉着的儿童牙齿表面有较特殊并相对稳定的微生物群。Slots[1]刮取儿童牙齿表面黑色素在体外进行微生物培养。在可培养的微生物中,约有90%是G+杆菌,主要是放线菌,这与Theilade在电镜下的观察结果一致。只有不到1%的菌落是产黑色素拟杆菌,它对黑色素沉着的作用可能并不明显。此外链球菌只占到了5%,而正常的龈链球菌为优势菌,这提示,有牙齿黑色素沉着的儿童口腔内龋源性细菌较少。

如何预防及治疗色素沉积
1、不吃,少吃色素深的食物,不建议儿童喝可乐。蔬菜富含粗纤维,较高频率的进食粗纤维,将磨耗掉牙齿表面的部分色素;另外经常进食蔬菜等粗纤维食品将提高牙齿表面的光洁度,减少色素的附着。
2、家长应督促儿童早日养成早晚刷牙、饭后漱口的好习惯,7岁以前的孩子一定要家长帮助刷牙。
3、黑色素沉着的主要治疗方法是洁治与抛光,但有易复发的特点,需要定期进行洁治。
在病因未明的情况下,很难有确切的预防方法,但减少高色素的饮食、避免摄入过量的铁、及时刷牙漱口清除食物残渣、使用含摩擦剂及蛋白酶的牙膏可能为减少牙齿黑色素沉着提供帮助。
牙齿发黑除了色素沉着外,还有一个可能是龋齿或龋齿伴有色素沉着。“龋齿”也就是我们生活中俗称的“蛀牙”“虫牙”,儿童龋齿是儿童因自洁作用较差导致多牙的龋坏,通常患龋年龄较小,龋齿发展速度较快。

龋齿产生原因
症状表现
龋齿治疗与预防
1、治疗方面,一般需要进行去龋,根据龋齿的发展程度,可能需要进行补牙、垫底充填或根管治疗等。
2、预防儿童龋齿的关键在于养成良好的卫生习惯和饮食习惯,如早晚刷牙、饭后漱口、少吃甜食等。此外,定期应用氟化物和窝沟封闭也是有效的预防措施。家长应定期带儿童进行口腔检查,以便早发现龋齿并早治疗。
若出现“小黑牙”该怎么办呢?要及时到口腔医院照明原因哦,如果是龋齿(蛀牙),就需要尽快补牙或者做预成冠;若是外源性色素沉着,可以通过儿童喷砂洁牙来治疗哦

什么是PT-A儿童喷砂洁牙?
首先,使用菌斑染色剂点涂牙缝及牙面,以显示菌斑。
参照菌斑显色,对牙面、牙缝进行喷砂洁治。
然后,医生进行口腔健康问题的科普、刷牙方式、动作指导。
喷砂是什么砂呢?会不会对儿童牙齿造成伤害?

甘氨酸是一种最简单的天然氨基酸,又名氨基乙酸或乙氨酸,是唯一不具有旋光活性的人体非必需氨基酸,在机体内广泛存在,为一碳、蛋白质、多肽、核苷酸类、卟啉类以及胆盐代谢中的关键物质[2]。食品级甘氨酸属于甜味类氨基酸,口感偏甜,在喷砂治疗中易于被患者接受。
甘氨酸喷砂粉颗粒直径仅为25微米,对牙周袋内软组织、牙龈、上颚及牙体组织表面温和无创伤。可用于儿牙、正畸、修复体、牙周及种植体维护。
儿童口腔洁治,对于洁治过程中的舒适度要求更高,啄木鸟玉砂–25μm甘氨酸砂粉配合超声喷砂牙周治疗仪PT-A对口内进行洁治,口感偏甜,温和舒适,非常适合给孩子们进行口腔宣教+全口洁治。
参考文献:
1、张芳菲.牙齿外源性黑色素沉着的研究进展[J].现代口腔医学杂志,2014.(06):48-51
2、李晓宇 朱旭冬 陈琪,甘氨酸在心血管疾病中的保护作用,[J] 生物化学与生物物理进展,2015.9
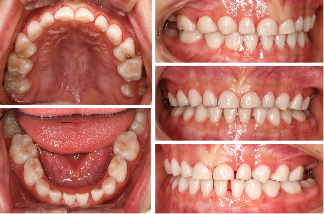
儿童喷砂洁牙病例展示
治疗前

治疗后

所以,喷砂洁牙不仅可以去除色素,还孩子自信的笑容,更可以有效帮孩子清除牙垢,预防蛀牙。
父母在担忧孩子牙齿健康的同时,只要记得定期检查、早预防、早治疗,就可做到防患于未然。
END

如果你的牙齿还有其他问题
或不清楚自己的牙齿状况
可在公众号对话框发送消息给小益
或直接到门诊进行检查哦
益口佳口腔门店地址:
