补硒能修复胰岛功能吗(能修复胰岛功能的药物)
在正常情况下,肝脏中脂肪含量不会超过肝脏总重量的4%至5%,如果因为肥胖、营养失调等原因会打破肝脏对脂肪代谢的平衡,不断进入肝脏的脂肪得不到有效地处理而积压在肝细胞中,当肝内脂肪含量超过肝脏重量的5%时可称为脂肪肝。
大多数脂肪肝患者没有什么特别的不舒服感觉,只有在极少数的情况下会有黄疸、恶心、呕吐、疼痛等症状,肝功能化验可有谷丙转氨酶(ALT)升高。
脂肪肝虽然可逆,但长期持续发展下去,也会导致肝纤维化,甚至导致肝硬化。
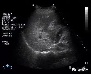
超声表现:
1、肝实质回声细密增强,呈云雾状,后方回声衰减。
2、肝内管道结构显示欠清。
3、肝肾对比阳性,正常情况下肝脏回声略高于肾实质回声,脂肪肝时肝脏回声明显增强。
4、肝脏增大,形态饱满,边缘变钝。


脂肪肝的分度
根据肝脏回声,肝内管道及膈肌显示情况可对脂肪肝进行分度。
轻度:肝回声增强,后方回声衰减不明显,肝内管道结构显示正常。
中度:肝回声明显增强,后方回声衰减,肝内管道结构显示欠清晰。
重度:后方回声衰减明显,后方肝组织显示不清,膈肌显示不清。
超声检查的局限性
1、超声并不是诊断脂肪肝的准确手段,只有在病理改变比较明显时才可见。
2、分度的局限性:脂肪肝的分度受检查者及仪器的影响较大,而且分度与病理或实验室检查并不匹配,因此不建议超声对脂肪肝进行分度。
非均匀性脂肪肝:脂肪肝形成和发展过程中,受到门静脉血流中胰岛素和胰高血糖素含量以及肝内门静脉-体腔静脉交通支等因素的影响,脂肪浸润可表现为非均匀性。
依据超声表现可分为四型:

1、局灶浸润型:呈局灶性强回声,无包膜,边界不清,后方可伴衰减。
此型需与肝转移癌及肝血管瘤鉴别。


2、多灶浸润型:在回声相对正常的肝内,可见多发强回声。


3、叶段浸润型:一部分区域为低回声,其它区域为强回声。
此型需与肝转移癌鉴别,此型肝内血管走行正常,无靶环征及牛眼征。


4、正常肝残留型:肝脏弥漫性回声增强,其内可见低回声区,为轻度脂肪浸润或性对正常肝残留区,好发于胆囊床、门静脉主干周围。

得了脂肪肝,怎么办好呢?

一句话
管住嘴,迈开腿!
治疗方针
去除病因才有利于治愈脂肪肝。调整饮食结构;适当增加运动,促进体内脂肪消耗;补硒及药物治疗。
对症治疗
1.找出病因
如长期大量饮酒者应戒酒。营养过剩、肥胖者应严格控制饮食,使体重恢复正常。
2.调整饮食结构
提倡高蛋白质、高维生素、低糖、低脂肪饮食不吃或少吃动物性脂肪、甜食(包括含糖饮料)。
3.适当增加运动
主要应选择有氧运动,比如慢跑、快走、骑自行车、上下楼梯、打羽毛球、跳绳和游泳等。
4.适当补硒
对养肝护肝起到良好作用。
药物治疗
到目前为止,尚无防治脂肪肝的特效药物。西药常选用保护肝细胞、降脂药物及抗氧化剂等。也可用丹参、山楂、草决明、泻泽、柴胡汤、五苓散等中药治疗。
预后情况
脂肪肝属可逆性疾病,积极治疗预后一般良好。
日常护理
1. 合理膳食
每日三餐膳食要调配合理,做到粗细搭配营养平衡,足量的蛋白质能清除肝内脂肪。禁酒戒烟,少吃过于油腻的食物,控制脂肪的摄入量,尤其要避免动物性脂肪的摄入。
2. 适当运动
每天坚持体育锻炼,可视自己体质选择适宜的运动项目, 如慢跑、打乒乓球、羽毛球等运动。要从小运动量开始循序渐进逐步达到适当的运动量,以加强体内脂肪的消耗。
↓
↓
继续阅读
- 暂无推荐
